Foto/Imagem: Instituto Peter DohertyO vídeo de um hospital norte-americano mostra os pulmões de um homem que não apresentava sintomas para o novo coronavírus e, hoje, está infectado e seus órgãos estão deixando de funcionar como deveriam. A informação é de Keith Mortman, chefe do setor de cirurgia torácica do Hospital da Universidade George Washington.
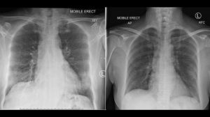
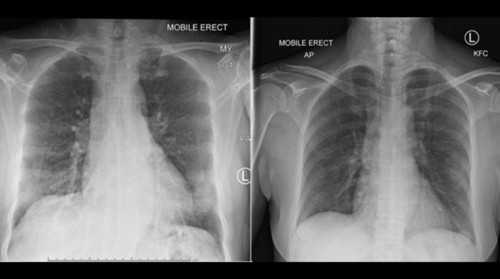
A instituição divulgou, recentemente, o vídeo que mostra, em 3D, os pulmões de um paciente com Covid-19. As imagens indicam os danos extensivos causados aos órgãos de um homem de 59 anos, com pressão alta.
Desde que o paciente ficou doente, ele precisa de um ventilador respiratório para ajudá-lo a inspirar e expirar. Mesmo assim, não é suficiente. Ele também necessita de outra máquina para circular e oxigenar o sangue.
“Não se trata de um paciente de 70, 80 anos imunossuprimido (com o sistema imunológico muito vulnerável a infecções) e diabético”, afirmou Mortman. “Tirando a pressão alta, ele não tem nenhum outro problema médico significativo. Este é um homem que cuidava da própria vida e contraiu o vírus. Se fizermos um novo vídeo agora, uma semana depois do original, há uma chance de que a infecção e o processo inflamatório possam estar piores”, explicou.
Nas imagens, as áreas marcadas em amarelo representam as partes infectadas e inflamadas dos pulmões, detalhou Mortman. Quando eles se deparam com uma infecção viral, começam a selar o vírus.
Nota-se que os danos não ficam restritos a apenas uma região do órgão, mas se estendem por faixas enormes dos dois pulmões, mostrando o quão rápida e agressiva a infecção pode ser, mesmo em pacientes mais novos. Uma pessoa saudável não teria as marcações em amarelo que aparecem no vídeo, segundo o médico. O paciente em questão está, agora, internado na Unidade de Terapia Intensiva (UTI), em estado grave.
“Para esses pacientes que apresentam insuficiência respiratória progressiva, os danos aos pulmões ocorrem de forma rápida e generalizada (como mostram as imagens do vídeo)”, destacou Mortman em um e-mail.
“Infelizmente, uma vez que estiver nesse estágio da doença, os pulmões podem levar muito tempo para se recuperar. Para cerca de 2% a 4% dos pacientes com Covid-19 (dependendo do número de indivíduos infectados que se considera), o problema é irreversível e eles acabam sucumbindo à doença”, explicou.
Resposta dos pulmões ao coronavírus
O novo coronavírus é essencialmente de natureza respiratória. Ele “atinge as membranas mucosas e, depois, os pulmões. A maneira com a qual o corpo tenta controlar isso ocorre por meio da inflamação”, segundo Mortman.
Os pontos em amarelo nas imagens mostram infecções e inflamações. “Então você contrai essa grave inflamação nos pulmões como tentativa do corpo em controlar a infecção.”
A inflamação impede os pulmões de oxigenar o sangue e remover o dióxido de carbono, o que faz o paciente arfar ou inalar uma grande quantidade de ar para equilibrar os níveis de oxigênio e dióxido de carbono.
As imagens sugerem que as palavras para descrever os sintomas comuns da doença – como tosse e dificuldade de respiração – não podem expressar realmente o impacto do vírus no corpo humano.
Em algumas pessoas, segundo Mortman, os danos podem ser irreversíveis, tornando fundamental que as pessoas sigam as recomendações de manter o distanciamento social e o isolamento. “Quero que as pessoas vejam e entendam o que isso pode fazer”, disse o médico. “Elas precisam levar isso a sério.”
O Hospital da Universidade George Washington costuma usar as imagens em 3D para identificar câncer em pacientes e planejar procedimentos cirúrgicos. Mas, pela primeira vez, a tecnologia foi aplicada para combater o novo coronavírus.
“Estamos no escuro com essa doença”, afirmou Mortman. “Queremos entendê-la da melhor forma que pudermos. Esse é o nosso primeiro paciente, mas tenho certeza de que é o primeiro de muitos que virão nas próximas semanas.”














